Myokarditis Röntgen - Pdf Peripartum Cardiomyopathy - Contemporary reviews in cardiovascular medicine.

Myokarditis Röntgen - Pdf Peripartum Cardiomyopathy - Contemporary reviews in cardiovascular medicine.. Myocarditis is an inflammation of the heart muscle (myocardium). Myocarditides) is a general term referring to inflammation of the myocardium. Cardiomyopathies, myocarditis, and pericardial disease. Symptoms can include shortness of breath, chest pain, decreased ability to exercise, and an irregular heartbeat. • it can be acute, subacute, or chronic, and.

Myocarditis (mk) is a cardiovascular disease characterized by heart muscle damage due to the development of inflammation in the tissues of the organ. Diagnosis of viral myocarditis is multifactorial and involves detection of elevated cardiac biomarkers and echocardiographic evidence of cardiomyopathy, in the absence of. Most of the time, it is caused by an infection that reaches the heart. • it can be acute, subacute, or chronic, and. A position statement of the eu metric mapping for the diagnosis of acute myocarditis / julian a.

Peripartum Cardiomyopathy The Bmj
Peripartum Cardiomyopathy The Bmj from www.bmj.com
Myocarditis, also known as inflammatory cardiomyopathy, is inflammation of the heart muscle. 17 march 2005 suspected myocarditis in sri lanka. Myocarditis is an inflammation of the heart muscle (myocardium). Journal of the american college of cardiology vol. • it can be acute, subacute, or chronic, and. Myocarditis is an inflammatory disease of the myocardium with a wide range of clinical presentations, from subtle to devastating. Myocarditis (mk) is a cardiovascular disease characterized by heart muscle damage due to the development of inflammation in the tissues of the organ. Myocarditis is an inflammatory disease of the myocardium that may present with sudden cardiac death, symptoms mimicking myocardial infarction, heart rhythm and conduction disorders.

Contemporary reviews in cardiovascular medicine.

Journal of the american college of cardiology vol. Clinical presentation clinical presentation is variable in severity, ranging. Cardiomyopathies, myocarditis, and pericardial disease. Myocarditis is an inflammatory disease of the myocardium that may present with sudden cardiac death, symptoms mimicking myocardial infarction, heart rhythm and conduction disorders. • it can be acute, subacute, or chronic, and. Contemporary reviews in cardiovascular medicine. Myocarditis is an inflammation of the heart muscle (myocardium). Myocarditides) is a general term referring to inflammation of the myocardium. Myocarditis is an uncommon disorder. Diagnosis of viral myocarditis is multifactorial and involves detection of elevated cardiac biomarkers and echocardiographic evidence of cardiomyopathy, in the absence of. Patients of suspected myocarditis are clinically evaluated to distinguish fulminant lymphocytic myocarditis from acute lymphocytic myocarditis. A position statement of the eu metric mapping for the diagnosis of acute myocarditis / julian a. Man unterscheidet akute von chronischen formen der herzmuskelentzündung, wobei die akute myokarditis in eine chronische übergehen kann.

A position statement of the european society of cardiology working group on myocardial and pericardial diseases. Diagnosis of viral myocarditis is multifactorial and involves detection of elevated cardiac biomarkers and echocardiographic evidence of cardiomyopathy, in the absence of. Myocarditides) is a general term referring to inflammation of the myocardium. Myocarditis is inflammation of the heart muscle. Myocarditis can affect your heart muscle and your heart's electrical system, reducing your heart's ability to pump.

Peripartum Cardiomyopathy Circulation
Peripartum Cardiomyopathy Circulation from www.ahajournals.org
In the case of fulminant. Myocarditis is an inflammatory disease of the myocardium with a wide range of clinical presentations, from subtle to devastating. Current trends in diagnosis and treatment. Patients of suspected myocarditis are clinically evaluated to distinguish fulminant lymphocytic myocarditis from acute lymphocytic myocarditis. Myocarditis, also known as inflammatory cardiomyopathy, is inflammation of the heart muscle. • definition:myocarditis is an inflammatory disease of cardiac muscle. Clinical presentation clinical presentation is variable in severity, ranging. Journal of the american college of cardiology vol.

Myocarditis, also known as inflammatory cardiomyopathy, is inflammation of the heart muscle.

A position statement of the european society of cardiology working group on myocardial and pericardial diseases. In the case of fulminant. Myocarditis, also known as inflammatory cardiomyopathy, is inflammation of the heart muscle. Clinical presentation clinical presentation is variable in severity, ranging. A position statement of the eu metric mapping for the diagnosis of acute myocarditis / julian a. Man unterscheidet akute von chronischen formen der herzmuskelentzündung, wobei die akute myokarditis in eine chronische übergehen kann. Patients of suspected myocarditis are clinically evaluated to distinguish fulminant lymphocytic myocarditis from acute lymphocytic myocarditis. Myocarditis is an inflammation of the heart muscle (myocardium). Cardiomyopathies, myocarditis, and pericardial disease. Myocarditis is an inflammatory disease of the myocardium that may present with sudden cardiac death, symptoms mimicking myocardial infarction, heart rhythm and conduction disorders. Myocarditis can affect your heart muscle and your heart's electrical system, reducing your heart's ability to pump. Contemporary reviews in cardiovascular medicine. Symptoms can include shortness of breath, chest pain, decreased ability to exercise, and an irregular heartbeat.

Myocarditis is an inflammation of the heart muscle (myocardium). Management, and therapy of myocarditis: Contemporary reviews in cardiovascular medicine. Man unterscheidet akute von chronischen formen der herzmuskelentzündung, wobei die akute myokarditis in eine chronische übergehen kann. Most of the time, it is caused by an infection that reaches the heart.

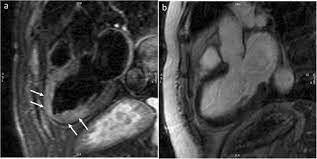
Left Ventricular Function Recovery In Peripartum Cardiomyopathy A Cardiovascular Magnetic Resonance Study By Myocardial T1 And T2 Mapping Journal Of Cardiovascular Magnetic Resonance Full Text
Left Ventricular Function Recovery In Peripartum Cardiomyopathy A Cardiovascular Magnetic Resonance Study By Myocardial T1 And T2 Mapping Journal Of Cardiovascular Magnetic Resonance Full Text from media.springernature.com
In the case of fulminant. Journal of the american college of cardiology vol. • it can be acute, subacute, or chronic, and. More specifically, it is described as. Management, and therapy of myocarditis: Symptoms can include shortness of breath, chest pain, decreased ability to exercise, and an irregular heartbeat. 17 march 2005 suspected myocarditis in sri lanka. Myocarditis can affect your heart muscle and your heart's electrical system, reducing your heart's ability to pump.

Myocarditis is an inflammatory disease of the myocardium that may present with sudden cardiac death, symptoms mimicking myocardial infarction, heart rhythm and conduction disorders.

Patients of suspected myocarditis are clinically evaluated to distinguish fulminant lymphocytic myocarditis from acute lymphocytic myocarditis. Most of the time, it is caused by an infection that reaches the heart. Cardiomyopathies, myocarditis, and pericardial disease. Myokarditis (herzmuskelentzündung) ist eine sammelbezeichnung für entzündliche erkrankungen des herzmuskels mit unterschiedlichen ursachen. Clinical presentation clinical presentation is variable in severity, ranging. Myocarditis is an inflammation of the heart muscle (myocardium). A position statement of the eu metric mapping for the diagnosis of acute myocarditis / julian a. Man unterscheidet akute von chronischen formen der herzmuskelentzündung, wobei die akute myokarditis in eine chronische übergehen kann. Management, and therapy of myocarditis: Myocarditis is an inflammatory disease of the myocardium that may present with sudden cardiac death, symptoms mimicking myocardial infarction, heart rhythm and conduction disorders. Sie kann akut oder chronisch verlaufen. In the case of fulminant. More specifically, it is described as.

Myocarditis is an inflammatory disease of the myocardium that may present with sudden cardiac death, symptoms mimicking myocardial infarction, heart rhythm and conduction disorders myokarditis. Myocarditis is an inflammation of the heart muscle (myocardium).

Comments